Services: Surgical

Our practice provides a variety of surgical services. We pride ourselves on the fact that we are very conservative with treatment recommendations and we limit surgery to the areas where it is absolutely necessary. Periodontal procedures are available to regenerate the bone and gum tissue to it's optimal function and cosmetic appearance. Microsurgical techniques are used to enhance predictability of treatment and increased precision facilitates faster healing.

You may view a selection of videos showing surgical procedures under Learning: Videos, or by scrolling to the bottom of this page. Please note these videos show actual surgical procedures and not just before and after pictures.

Cosmetic Periodontal Surgery 

These procedures are a predictable way to cover unsightly, sensitive or exposed root surfaces and to prevent future gum recession. If you are unhappy with the appearance of short unsightly teeth this can be greatly improved by a combination of periodontal procedures by Dr. Kwan and cosmetic dentistry by your dentist.

Gum Grafting

When recession of the gingiva occurs, the body loses a natural defense against both bacterial penetration and trauma. When gum recession is a problem, gum reconstruction using grafting techniques is an option.

When there is only minor recession, some healthy gingiva often remains and protects the tooth, so that no treatment other than modifying home care practices is necessary. However, when recession reaches the mucosa, the first line of defense against bacterial penetration is lost.

In addition, gum recession often results in root sensitivity to hot and cold foods as well as an unsightly appearance to the gum and tooth. Also, gum recession, when significant, can predispose an individual to worsening recession and expose the root surface, which is softer than enamel, leading to root caries and root gouging.

A gingival graft is designed to solve these problems. A thin piece of tissue is taken from the roof of the mouth, or gently moved over from adjacent areas, to provide a stable band of attached gingiva around the tooth. The gingival graft may be placed in such a way as to cover the exposed portion of the root.

AlloDerm is a purified donor collagen that can be used instead of using tissue from the roof of the mouth. 

Connective tissue from under the palatal tissue can also be used to regenerate lost gum.

Gum Recession: before & after connective tissue root coverage/porcelain veneers are placed

 

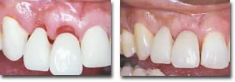
Before & after grafting with AlloDerm connective tissue implant & amalgam tattoo removal

 

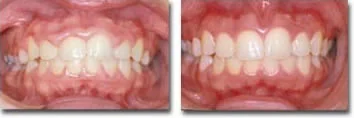
Before & after excess gum reshaping for enhanced esthetics & improved oral hygiene access

 

Crown Lengthening 

When decay occurs below the gum line it may be necessary to remove a small amount of bone and gum tissue. Your dentist may ask for this procedure before he or she makes a new crown for your tooth. This will allow your general dentist adequate room to place a quality final restoration. Another indication for crown lengthening is when the front teeth are too short or of uneven length.

Pocket Elimination

You are welcome to discuss these options with the doctor:

Osseous Surgery

Traditionally, gum disease is treated by eliminating the gum pockets by trimming away the infected gum tissue and by recontouring the uneven bone tissue. Although this is still an effective way of treating gum disease, new and more sophisticated procedures are used routinely today.

Guided Tissue Regeneration

This surgical procedure "regenerates" the previously lost gum and bone tissue. Most techniques utilize membranes which are inserted over the bone defects. Some of these membranes are bioabsorbable and some require removal. Other regenerative procedures involve the use of bioactive gels and/or bone grafting. 

Other Services

Ridge Preservation 

Careful management of extraction sockets after tooth extraction prevents unsightly bone loss and a better cosmetic outcome of tooth replacement.

Healing after ridge preservation and before placement of a bridge

 

Dental Implants 

Dental implants are designed to provide a foundation for replacement teeth which look, feel, and function like natural teeth. The person who has lost teeth regains the ability to eat virtually anything and can smile with confidence, knowing that teeth appear natural and that facial contours will be preserved. The implants themselves are tiny titanium posts which are placed into the jawbone where teeth are missing. The bone bonds with the titanium, creating a strong foundation for artificial teeth. In addition, implants can help preserve facial structure, preventing the bone deterioration which occurs when teeth are missing.

Bone Grafting 

Over a period of time, the jaw bone associated with missing teeth atrophies or is reabsorbed. This often leaves a condition in which there is poor quality and quantity of bone suitable for placement of dental implants. In these situations, most patients are not candidates for placement of dental implants.

We now have the ability to grow bone where needed. This not only gives us the opportunity to place implants of proper length and width, it also gives us a chance to restore the esthetic appearance and functionality better.

 

SURGICAL VIDEOS

Please note, the videos below show actual surgical procedures and not just before and after pictures. 

Periodontal Microsurgery: AlloDerm Root Coverage

Recession, Limited Gingival Band, Esthetics and Stability are addressed with this Periodontal Microsurgical procedure using a purified collagen implant: AlloDerm


Periodontal Microsurgery: Socket Preservation Failing Bridge Abutment

Featuring: Sable N6900, Keystone Accell, Dynagraft D, LifeNet FDB, Global Microscope, Ethicon 6.0 gut, Dentsply PepGen P-15


Periodontal Microsurgery: AlloDerm Grafting #22-27

Featuring: Global Microscope, OptraGate, BioHorizons AlloDerm, Hu-Friedy and Hartzell Instruments.